8 年
手机商铺
公司新闻/正文
780 人阅读发布时间:2025-07-15 11:03
Piezo1 channel exaggerates ferroptosis of nucleus pulposus cells by mediating mechanical stress-induced iron influx
Subject terms: Homeostasis, Pathogenesis
机械应力可以有效地调节细胞活动,包括细胞增殖、凋亡、分化和自噬。钙离子(Ca2+)通过机械敏感的 Piezo1 通道对机械刺激做出反应。Piezo1可以检测机械应力,如静压、剪切应力和膜拉伸。此外,Piezo1 也是一种机械转导介质,用于 Ca2+ 介导的髓核细胞(NPCs)中硬化细胞外基质(ECM)的激活。
椎间盘(IVD)是一个生理负压器官。除了维持人体髓核(NP)组织的生理功能外,适当的机械应力在内部微环境中也起着重要作用。力学性能的变化与 IVD 结构和组成的异常变化之间存在正相关。此外,Piezo1 在退化的 NP 样本中上调,机械应力激活的 Piezo1 可以通过骨膜素(periostin)和 NF-kB 的自我放大循环加速人类 NPCs 的衰老和椎间盘退变的进展。
铁(Fe)是人体必需的元素。然而,病理性铁积累可导致氧化性细胞损伤和铁死亡,这是一种铁依赖性的脂质过氧化、活性氧大量累积所致的细胞死亡模式。铁死亡需要铁,Piezo1 通道是机械敏感的离子通道。但是迄今为止,可用于铁内流的分子很少。
鉴于此,山东大学齐鲁医院骨科、中南大学湘雅医学院及天津医院脊柱外科的联合团队在一项研究中旨在阐明 Piezo1 通道在 IVD 和 NPCs 铁死亡中的作用,结果表明,Piezo1 是铁代谢的关键调节因子,直接促进铁内流、调节铁代谢相关生物标志物和影响 GPX4 的表达(铁死亡中的主要成分)。研究成果发表在 Bone Research 期刊题为“Piezo1 channel exaggerates ferroptosis of nucleus pulposus cells by mediating mechanical stress-induced iron influx”。

首先,为了研究机械应力诱导的 NPCs 变化,将原代大鼠 NPCs 分离并在无 Ca2+ 的培养基中施加1 MPa 的机械压缩力。结果显示,Piezo1 在机械应力下上调。此外,Piezo1 表达与铁代谢基因(包括 ACSL4 和 DMT1)的表达呈正相关,与 GPX4 和 FSP1 呈负相关。GO 和 KEGG 富集分析表明,机械应力影响铁死亡相关通路。1 MPa 的机械应力 以时间依赖性方式显著改变了细胞形态、细胞内 Fe2+ 以及铁代谢和铁死亡蛋白水平。
进一步利用Piezo1抑制剂GsMTx4 或铁死亡抑制剂(Fer-1)处理,发现GsMTx4 减轻了机械应力诱导的损伤,通过阻断 Piezo1 减少了铁积累,表明 Piezo1 参与了 NPCs 的铁过载。此外,1 MPa 刺激显著促进了 NPCs 的细胞死亡,而GsMTx4 和 Fer-1 减轻了这种影响。通过收集NP样本确定 IVD 退变是否涉及铁过载,发现退行性 NP 组织中的铁水平增加。免疫组化结果显示,Piezo1 和铁死亡相关基因 ACSL4 在高度退变患者中上调,而 GPX4 下调,这与机械应力刺激的结果一致。
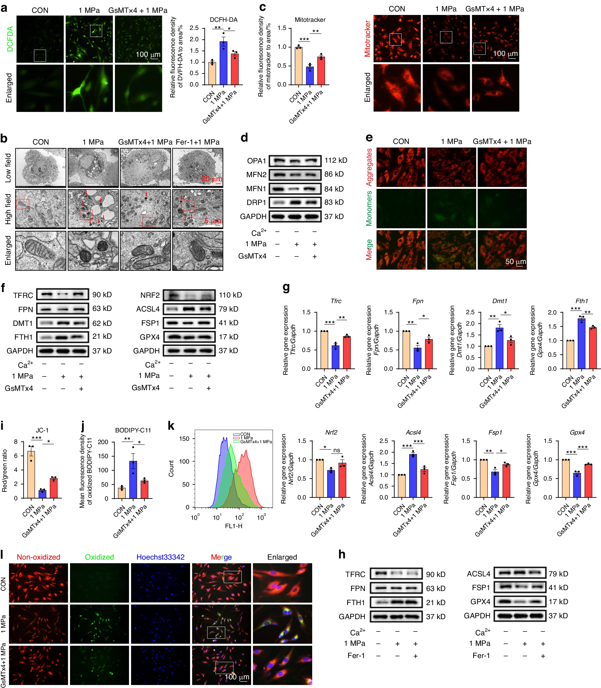
然后测量 ROS 的水平。结果表明,机械应力提高了 ROS 的生成,而 GsMTx4 处理减少了 ROS 的产生(图1 a)。TEM显示,机械应力影响了线粒体结构,线粒体收缩且嵴杂乱,而抑制Piezo1 减轻了这种影响(图1 b)。测定线粒体的功能和生物标志物的表达,发现机械应力会干扰,而抑制 Piezo1 则在无 Ca2+ 的环境中维持了线粒体的功能(图1 c-e、i)。
据报道,Piezo1 在多种情况下促进铁死亡。因此,评估了 Piezo1 激活在 NPCs 铁死亡改变中的作用。RT-PCR和 WB分析显示,1 MPa 刺激改变了铁代谢标志物(TFRC、DMT1、FPN、FTH1、Hepcidin)和铁死亡标志物(NRF2、GPX4 、FSP1、ACSL4 )的表达。然而,GsMTx4 减弱了机械应力对铁代谢相关基因、铁死亡基因和蛋白质的影响(图1 f、g),而Fer-1 仅恢复铁死亡标志物的表达,这说明,Fer-1 不能有效阻止机械应力诱导的铁代谢变化(图1 h)。此外,在 1 MPa 机械应力下,阳性铁死亡标志物转铁蛋白受体(TFRC)表达降低,脂质 ROS 水平显著增加且被 GsMTx4 抑制(图1 j-l)。这些数据表明,机械应力通过激活 Piezo1 影响铁死亡。
图1 机械应力通过 Piezo1 激活影响铁死亡。
接下来,研究了机械应力诱导的 NPCs 变化,在不含 Ca2+ 的培养基中用 Yoda1(Piezo1 的激动剂)培养细胞(图2 a)。结果表明 Yoda1 改变了与铁代谢和铁死亡相关的基因水平(图2 b-d)。GO、KEEG 和 GESA 分析还表明,Piezo1 激活影响铁稳态,表明药物或机械应力引起的 NPCs 中铁代谢和铁死亡的变化是相似的(图2 e-g)。
因此,评估了 Piezo1 是否直接或间接影响铁内流。利用柠檬酸铁铵(FAC)构建细胞外铁过载环境,用 Yoda1 或 GsMTx4 处理大鼠 NPCs(图2 h、i)。结果显示,Piezo1 的化学激活显著破坏了细胞骨架和细胞间连接(图2 j)。此外,FAC 增加了细胞内 Fe2+ 和丙二醛(MDA)水平,尤其是在 Yoda1 存在的情况下,而GsMTx4 阻止了 Fe2+ 的大量内流。这种趋势在某种程度上独立于 Ca2+,因为在不含 Ca2+ 的培养基中也检测到铁的积累(图2 k-m)。活/死测定显示,Yoda1 显著促进 NPCs 细胞死亡,GsMTx4 显著减轻了这一现象(图2 n)。CCK-8 结果还显示,铁环境破坏了细胞活力,而 Yoda1 以时间依赖性方式大大加速了细胞死亡(图2 o)。上述结果表明,Piezo1 通道的药理学激活显著增加铁过载。
进一步将大鼠原代 NPCs 暴露于高铁环境中,并用 Yoda1 或 GsMTx4 处理,评估 ROS 产生、脂质 ROS、线粒体结构、功能和生物标志物。TEM 分析显示,Piezo1 激活影响线粒体结构,而Piezo1 的抑制剂减轻了铁刺激的有害影响。DCFDA 测定显示,Yoda1 提高,而 GsMTx4 减少了 ROS 的产生。此外,Yoda1 导致 NPCs 功能紊乱,而 Piezo1 的抑制在高铁环境中大大改善了这些影响。值得注意的是,TFRC 在高铁环境中上调,而 GsMTx4 略微降低表达。流式细胞术分析表明,Piezo1 通道激活后脂质 ROS 水平显著增加。由于 GsMTx4 是 Piezo1 的非特异性激动剂,因此在 GsMTx4 存在下用 Yoda1 和 FAC 处理细胞,WB 和荧光染色图像显示,在 Yoda1 和 FAC 存在下,用 GsMTx4 或 si-Piezo1 阻断 Piezo1 通道减弱了 Yoda1 的作用。这些结果表明,Piezo1 通道介导的铁过载导致线粒体功能障碍、氧化应激和脂质过氧化,其激活在铁死亡发生中起重要作用。
图2 Piezo1 通道的药理学激活显著增加了铁过载。
TFRC 参与细胞内铁元素的转运过程,是公认的铁内流因素。使用 Tfrc-siRNA 转染敲低 Tfrc(KD)以研究 Piezo1 是否可以独立于 TFRC 直接促进铁内流。令人惊讶的是,Tfrc KD 并没有保护受机械应力处理的细胞的正常形态。Tfrc KD 并没有缓解压缩应力诱导的 Fe2+ 内流、MDA 和 ROS 增加以及线粒体功能障碍。此外,铁代谢相关标志物和铁死亡标志物的改变并未得到缓解。
有趣的是,转染后在高铁环境中用化学药物刺激NPCs 时,其对 FAC 刺激变得不敏感,细胞内 Fe2+ 和 MDA 水平降低证明了这一点。Tfrc KD 逆转了 FAC 刺激的 Fe2+ 内流、ROS 增加、线粒体膜电位和线粒体功能障碍,且在蛋白质水平上减轻了 FAC 造成的损伤。然而,在高铁环境中使用 Yoda1 处理后,这些表型没有改变。尽管如此,即使在 Tfrc-siRNA 转染后,Yoda1 和机械应力组仍然表现出相同的铁代谢相关标志物和铁死亡标志物变化。值得注意的是,Yoda1 处理在正常或无钙培养基中显著诱导铁过载,表明 Fe2+ 可以通过 Piezo1 通道转移到细胞质中。这些结果表明,Piezo1 诱导的铁内流与 TFRC 无关。
最后,为了评估 Piezo1 通道的基因阻断是否减弱体内的 IVDD 过程,建立了针刺小鼠模型(图 3 a)。研究发现,Piezo1 可干扰 GPX4 表达和铁死亡,表明 Piezo1 可能通过 GPX4 调控 IVDD。因此,使用 WT、Gpx4-cKO、Piezo1-cKO 和 Gpx4/Piezo1-cKO 小鼠建立针刺尾骨 IVDD 模型以供进一步分析。结果显示,Piezo1 缺失减弱了 IVDD 的发展,而 Gpx4 的缺失显著促进了 IVDD 的发展。然而,IVDD 在 Gpx4/Piezo1-cKO 小鼠中比在 Piezo1-cKO 小鼠中更严重。Micro-CT 显示,Gpx4-cKO 小鼠退变严重。然而,敲除 Piezo1 可减轻 IVDD(图3 b、c)。
此外,番红素O 染色显示,Piezo1 缺失显著保留了组织学完整性和 ECM(图3 d),以及代谢生物标志物的表达。然而,Gpx4/Piezo1-cKO 小鼠中 Gpx4 的额外缺失消除了在 Piezo1-cKO 小鼠中检测到的 IVDD 的缓解(图3 e)。此外,免疫荧光染色检测铁代谢和铁死亡指标(ACSL4、DMT1、FSP1)的表达,发现保护性标志物 FSP1 的荧光强度在 Piezo1-cKO 小鼠中增强,而在 Gpx4-cKO 和 Gpx4/Piezo1-cKO 小鼠中降低。相比之下,ACSL4 和 DMT1 的荧光强度显示出相反的趋势(图3 f-i)。qPCR 结果显示,Gpx4 在 Piezo1 敲低细胞和 Piezo1-CKO 小鼠中增加,但 Gpx4-CKO 和 WT 小鼠之间的 Piezo1 表达水平无显著差异。这些结果表明,Piezo1 可以通过影响 GPX4 来调控 IVDD 进展(图4)。
图3 Piezo1 通道的缺失通过 GPX4 减弱了 IVDD 的发展。
图4 铁代谢模式示意图。(a)正常条件下细胞的铁代谢模式。(b)机械应力下细胞的铁代谢模式
综上所述,该研究表明,机械应力诱导的 Piezo1 激活在铁代谢和铁死亡的调节中起着至关重要的作用。这一结论基于三个主要发现。首先,Piezo1 通道的激活导致细胞内铁过载,最终以应力反应方式导致铁死亡。其次,Piezo1 通道的激活以不依赖 TFRC 的方式直接介导铁内流,这可能发生在早期阶段,伴随着 TFRC 的反馈下调。第三,Piezo1 或其抑制剂 GsMTx4 的缺失可以逆转铁过载,Piezo1-铁-铁死亡轴可能是机械应力诱导疾病的一种新型治疗方法。
参考文献:Xiang Z, Zhang P, Jia C, Xu R, Cao D, Xu Z, Lu T, Liu J, Wang X, Qiu C, Fu W, Li W, Cheng L, Yang Q, Feng S, Wang L, Zhao Y, Liu X. Piezo1 channel exaggerates ferroptosis of nucleus pulposus cells by mediating mechanical stress-induced iron influx. Bone Res. 2024 Mar 29;12(1):20. doi: 10.1038/s41413-024-00317-9. PMID: 38553442; PMCID: PMC10980708.
图片来源:所有图片均来源于参考文献
小编旨在分享、学习、交流生物科学等领域的研究进展。如有侵权或引文不当请联系小编修正。如有任何的想法以及建议,欢迎联系小编。感谢各位的浏览以及关注!进入官网www.naturethink.com或关注“Naturethink”公众号,了解更多相关内容。